HolCien Vol 6 (2025)
ISSN: 2708-552X RNPS: 2495
Artículo Original
Bases inmunopatológicas del Linfoma de Hodgkin en el adulto joven
Immunopathological basis of Hodgkin's lymphoma in young adults
Marlon Leyva Guillén 1 https://orcid.org/0009-0004-8948-0924
Amelie Ramos Guibert 1 https://orcid.org/0009-0009-3684-7311
Liliana Eglis Morales Martínez 1 https://orcid.org/0009-0005-3726-2682
1 Universidad de Ciencias Médicas de Holguín, Facultad de Ciencias Médicas Mariana Grajales Coello. Holguín, Cuba.
RESUMEN
Introducción: El Linfoma de Hodgkin (LH) es una neoplasia hematopoyética única caracterizada por células cancerosas de Reed-Sternberg en un contexto inflamatorio. Aunque es relativamente raro, es el cáncer más común entre los jóvenes de 15 a 19 años.
Objetivo: Caracterizar las bases inmunopatológicos del Linfoma de Hodgkin en el adulto joven.
Desarrollo: La marca distintiva de esta entidad es la presencia de células neoplásicas tipo HRS escasas (Hodgkin y Reed-Sternberg), las cuales representan entre el 0,1 %y el 10 % del total de la celularidad presente, junto a numerosas células efectoras inmunitarias en el microambiente tumoral. Las células de HRS se caracterizan por presentar un gran número de aberraciones cromosómicas complejas. Para eludir la erradicación inmunitaria, las células tumorales pueden volverse "invisibles" mediante la pérdida o la regulación a la baja de moléculas implicadas en la presentación de antígenos, la resistencia a las señales de apoptosis y la expresión de receptores inhibidores que abren paso al desarrollo de un microambiente inmunitario caracterizado por la presencia de las células HRS, macrófagos antiinflamatorios, linfocitos TCD4+ ineficaces y citocinas inmunosupresoras. Además, la interacción con el estroma proporciona soporte estructural y funcional a las células tumorales.
Conclusiones: Los principales subtipos histológicos son: esclerosis nodular, celularidad mixta, rico en linfocitos y depleción linfocitaria; su desarrollo requiere de la ejecución de mecanismos evasivos que rescaten a las células tumorales de los efectores inmunológicos. Es indispensable la formación de un microambiente inmunosupresor que promueva la proliferación tumoral.
Palabras clave: Linfoma de Hodgkin, células Reed-Sternberg, linfocitos T Citotóxicos
ABSTRACT
Introduction: Hodgkin lymphoma (HL) is a unique hematopoietic neoplasm characterized by Reed-Sternberg cancer cells in an inflammatory context. Although relatively rare, it is the most common cancer among young people aged 15 to 19.
Objective: To characterize the immunopathological basis of Hodgkin's lymphoma in young adults.
Development: The hallmark of this entity is the presence of sparse HRS-type neoplastic cells (Hodgkin and Reed-Sternberg), which represent between 0.1% and 10% of the total cellularity present, along with numerous immune effector cells in the tumor microenvironment. HRS cells are characterized by a large number of complex chromosomal aberrations. To evade immune eradication, tumor cells can become "invisible" through the loss or downregulation of molecules involved in antigen presentation, resistance to apoptosis signals and the expression of inhibitory receptors, paving the way for the development of an immune microenvironment characterized by the presence of HRS cells, anti-inflammatory macrophages, ineffective TCD4+ lymphocytes and immunosuppressive cytokines. In addition, interaction with the stroma provides structural and functional support to tumor cells.
Conclusions: The main histological subtypes are: nodular sclerosis, mixed cellularity, lymphocyte-rich and lymphocyte depletion; their development requires the application of evasive mechanisms that rescue tumor cells from immune effectors. The formation of an immunosuppressive microenvironment that promotes tumor proliferation is essential.
Keywords: Hodgkin lymphoma, Reed-Sternberg cells, cytotoxic T lymphocytes
Recibido: 07/08/2023.
Aprobado: 11/04/2025.
Introducción
El cáncer constituye uno de los problemas más relevantes en la salud pública mundial pues se encuentra entre las principales causas de muerte y su tendencia va en aumento. El mismo constituye un grupo de enfermedades caracterizadas por el crecimiento descontrolado de células anormales en el cuerpo. Esta enfermedad es un desafío constante para la salud pública mundial ya que no se ha encontrado una cura definitiva, los pacientes se someten a procedimientos médicos, y suelen padecer secuelas tanto físicas como psicológicas.(¹)
El linfoma es un término amplio que describe un cáncer que comienza en las células del sistema linfático. Los dos tipos principales son Linfoma de Hodgkin y Linfoma No Hodgkin.(¹)
El linfoma de Hodgkin (LH) es una neoplasia hematopoyética única que se caracteriza por células cancerosas de Reed-Sternberg en un contexto inflamatorio.(²)
Las primeras descripciones de lo que se conoció como enfermedad de Hodgkin se remontan a 1832, cuando el eminente patólogo británico Thomas Hodgkin describió una serie de casos de autopsia de pacientes con linfadenopatía y agrandamiento del bazo.(2)
La ontogenia de los linfocitos es un proceso fundamental en el desarrollo del sistema inmunológico, que incluye tanto a los linfocitos B como a los linfocitos T. Los linfocitos B se originan en la médula ósea a partir de células madre hematopoyéticas. Su desarrollo implica varias etapas críticas: Progenitores Linfoides Comunes (PLC): a partir de estas células, se diferencian los linfocitos B y T. Su maduración comienza en la médula ósea y culmina en el bazo. Durante esta fase, se generan receptores de inmunoglobulina (BCR) que son evaluados para evitar la autoinmunidad. La mayoría de las células que no cumplen con los criterios específicos mueren por apoptosis. Los linfocitos B vírgenes son aquellos que sobreviven, expresan BCR de tipo IgM e IgD y buscan antígenos específicos para activarse.(3)
Los linfocitos T también se desarrollan a partir de progenitores linfoides comunes, pero su maduración ocurre principalmente en el timo. Este proceso incluye decisiones críticas: los progenitores deben decidir si diferenciarse en linfocitos T o B, y luego reordenar su receptor de células T (TCR) para reconocer antígenos presentados por moléculas presentadoras de péptidos (MHC). Las células T que reconocen débilmente los propios antígenos son seleccionadas para sobrevivir, mientras que aquellas con alta afinidad por antígenos propios son eliminadas; este proceso es conocido como Selección Positiva y Negativa: ambos procesos son altamente regulados y esenciales para establecer un sistema inmunológico competente y evitar enfermedades autoinmunes.(3)
En 1856, Sir. Samuel Wilks describió 10 casos de “un agrandamiento peculiar de las glándulas linfáticas que con frecuencia se asociaba con la enfermedad del bazo,” en su reporte incluyó los cuatro casos descritos por Hodgkin. Al descubrir el informe original de Hodgkin, él usó la denominación “la Enfermedad de Hodgkin” en una serie subsecuente de 15 casos publicados en 1865.(4)
La tasa de incidencia del linfoma de Hodgkin varía según la región geográfica y otros factores demográficos. A partir del año 2000, las tasas de incidencia globales han mostrado un aumento en algunos lugares, aunque en general, el linfoma de Hodgkin es considerado una enfermedad relativamente rara.(4)
Según datos de la Organización Mundial de la Salud (OMS) y el Globocan, la tasa de incidencia mundial para el linfoma de Hodgkin ha estado en el rango de 2 a 3 casos por 100,000 habitantes en muchos países. Sin embargo, en ciertas regiones, como América del Norte y Europa, las tasas son más altas,llegan a alcanzar hasta 5 casos por 100,000 habitantes o más.(4)
A nivel mundial, el 0,4 % y el 0,2 % de todos los casos y muertes relacionados con cáncer notificados en 2020 se debieron al linfoma de Hodgkin. Aunque es relativamente raro, es el cáncer más común entre los jóvenes de 15 a 19 años.(4)
Recientemente, la tasa de supervivencia del linfoma de Hodgkin ha aumentado debido a los avances en la terapia con anticuerpos. Otras terapias prometedoras incluían terapias con vacunas, inhibidores de puntos de control y linfocitos T citotóxicos.(4)
La carga del linfoma de Hodgkin varía con el sexo, la edad y la ubicación geográfica. Las personas con un mayor riesgo de linfoma de Hodgkin incluyen hombres, adolescentes y adultos jóvenes, aquellos con antecedentes de infección por el virus de Epstein-Barr, VIH/SIDA, enfermedades autoinmunes, exposición a la contaminación, tabaquismo y antecedentes familiares. También se encontró que la incidencia del linfoma de Hodgkin variaba según el tamaño de la familia y el estado socioeconómico.(4)
Dado que la epidemiología del linfoma de Hodgkin es diferente en las distintas regiones y puede haber cambiado con el tiempo, es necesario evaluar su patrón de distribución global, los factores de riesgo y las tendencias temporales para desarrollar medidas preventivas personalizadas para cada país.(4)
Sin lugar a dudas el linfoma de Hodgkin es una patología de alcance mundial cuyo estudio y seguimiento no se detiene.
Objetivo
Caracterizar las bases inmunopatológicos del linfoma de Hodgkin en el adulto joven.
Método
A través de una revisión bibliográfica se recopiló la información actualizada acerca del linfoma de Hodgkin. Para ello se seleccionaron bases de datos representativas como SciELO y Pubmed con la identificación de descriptores de la salud precisos. Se seleccionaron 28 documentos entre artículos de revista, tesis, presentaciones y documentos disponibles en la Biblioteca Virtual de Salud (BVS), se descartaron 12 porque la información contenida era muy general, no era pertinente con el objetivo del artículo o no se tenía la disponibilidad del texto completo, por lo cual se utilizaron 16 y los mismos con un 75 % de actualización, se tuvieron en cuenta los últimos 5 años y se obviaron los artículos repetidos.
Desarrollo
El linfoma de Hodgkin (LHC) se debe a la transformación clonal de células originadas en el centro germinativo de los linfocitos B, lo que genera las células binucleadas patognomónicas de Reed-Sternberg (HRS). Estas células albergan reordenamientos clonales de genes de inmunoglobulina (Ig) con evidencia de hipermutación somática, que dan como resultado genes de Ig no funcionales que carecen de la expresión del receptor de células B (BCR) de la superficie celular. En una célula B sana, esto debería conducir a la apoptosis; sin embargo, en el LH, estas células son "rescatadas" de la apoptosis por eventos oncogénicos adicionales.(5)
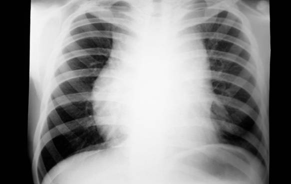
La mayoría de los pacientes con LHC presentan adenopatías no dolorosas o una masa mediastinal que puede presentar o no compresión torácica. La figura 1 es una radiografía de tórax anteroposterior donde se observa un aumento del volumen y la radioopcidad del mediastino, que impide observar la silueta cardíaca. El sitio más frecuentemente afectado es un ganglio linfático (GL) cervical en más del 70 % de los casos, seguido de las regiones mediastínica, axilar y paraaórtica. La afectación extraganglionar primaria se puede encontrar en huéspedes inmunocomprometidos y la afectación de la médula ósea, aunque no es común, se encuentra más frecuentemente en el LHC Depleción Linfocítica que en los otros subtipos.(6)

Fig. 1. Crecimiento mediastinal en Linfoma de Hodgkin.
Fuente: Manual Merck de Diagnóstico
Características histológicas
La marca distintiva de esta entidad es la presencia de células neoplásicas tipo HRS escasas, las cuales representan entre el 0,1 % y el 10 % del total de la celularidad presente, junto a numerosas células efectoras inmunitarias en el microambiente tumoral (MAT) característico (linfocitos, mastocitos, plasmocitos, histocitos, neutrófilos y eosinófilos). Con el menor aumento, la arquitectura normal del ganglio linfático podrá verse desde parcial hasta completamente borrada.(5)
Las células HRS son de gran tamaño, pueden llegar a medir hasta 100 µm, y se caracterizan por tener uno o múltiples núcleos grandes lobulados con nucléolo prominente redondo eosinófilo intenso (similar a una inclusión viral), una cromatina vesicular y un citoplasma abundante anfófilo (Figura 2). La variedad de tipos de células tumorales, que incluyen variantes mononucleares, bi o multinucleadas, formas necróticas (momificadas) y células lacunares (artefacto que surge a causa de la contracción citoplasmática durante la fijación con formalina) pueden ser de ayuda en la orientación hacia los diferentes subtipos histológicos.(7)
![]()
![]()

![]()
Fig. 2. Características Histológicas de las células Reed-Sternberg.
Fuente: Manual Merck de Diagnóstico
Genética
A nivel genético, las células de RS/H se caracterizan por presentar un gran número de aberraciones cromosómicas complejas, relativamente recurrentes, lo que refleja su marcada inestabilidad genómica. Por otro lado, existe escasa evidencia de alteraciones cromosómicas en células del microambiente tumoral. En este contexto, datos recientes de la literatura, describen que la amplificación del locus 9p24,1 en células de RS/H es una anomalía altamente recurrente, tanto en líneas celulares como en tumores primarios. Esta región cromosómica resulta de importancia, dado que en ella mapean genes involucrados en la modulación de mecanismos de inmunotolerancia.(8)
Las células HRS producen quimiocinas (CCL5, TARC/CCL17, entre otras), y las células T CD4+ expresan receptores para estos factores. Como resultado, las células HRS atraen estos linfocitos y otras células inflamatorias al microambiente tumoral que es necesario para el crecimiento del LHC. Este infiltrado abundante de células inmunitarias e inflamatorias en el LHC, sugieren que las células HRS han desarrollado mecanismos para escapar del sistema immune por esta vía. Las células T son el componente principal del microambiente tumoral del LHC. Se reconocieron varios subconjuntos: células T CD4+ que rodean a las células HRS, formando rosetas como escudo y para la activación de otras células T, la diferenciación de los monocitos en macrófagos M2 antiinflamatorios y la secreción de citoquinas inmunosupresoras como IL-10 y TGF-β, promoviendo el crecimiento tumoral.(9)
Subtipos
Desde el siglo pasado y según las características histológicas, para el LHC se reconocen cuatro subtipos: EN, CM, RL y DL, los cuales podrían llegar a superponerse con base en la composición del infiltrado inflamatorio de fondo y la presencia de fibrosis. El inmunofenotipo de estos subtipos es similar, pero las diferencias en las características epidemiológicas, clínicas y la asociación con el VEB, que es un gammaherpesvirus ubicuo que se transmite principalmente a través de la saliva y es el agente causal de la mononucleosis infecciosa, sugieren una biología diferente entre ellos; razón por la cual se recomienda continuar con esta clasificación siempre y cuando sea posible.(7)
Esclerosis nodular
El ganglio linfático (GL) presenta fibrosis capsular y algunos folículos residuales, el cual desde el menor aumento tendrá un patrón nodular o pseudonodular, rodeado por bandas de colágeno parciales o completas. Hay un número variable de células neoplásicas asociadas ocasionalmente con la red de células dendríticas foliculares (CDF), en donde las células HRS son comunes, y las lacunares son características (incluso estas últimas podrían conferir un aspecto similar al de cielo estrellado). El MAT comprende eosinófilos, histiocitos, linfocitos pequeños y escasos neutrófilos, con o sin formación de microabscesos. La necrosis, si está presente, usualmente es focal, y es posible encontrar áreas de reacción histiocítica alrededor de agregados celulares tumorales o granulomas.(7,10)
Celularidad mixta
Ganglio linfático dispuesto en un patrón difuso con borramiento de la arquitectura ganglionar, aunque algunos casos pueden mostrar un patrón interfolicular, compuesto por células HRS binucleadas o multinucleadas frecuentes, dispersas en un infiltrado inflamatorio mixto de cantidad variable de pequeños linfocitos, histiocitos, eosinófilos, neutrófilos y células plasmáticas. A menudo se observan agregados de histiocitos o granulomas epitelioides, especialmente en los pacientes positivos para el VEB. Las células lacunares están ausentes o son escasas; y aunque la fibrosis intersticial fina es común, esta no es prominente ni tiene formación de tabiques fibrosos o engrosamiento capsular. (7,10)
Rico en linfocitos
Fue el último subtipo en definirse y diferenciarse del Linfoma de Hodgkin nodular de predominio linfocítico, , sin embargo, en pacientes con biopsias secuenciales, la clasificación se ha mantenido en el tiempo. Posee dos patrones de presentación, nodular y difuso, siendo este último el menos frecuente. En los casos nodulares, los nódulos formados por linfocitos B abarcan la mayor parte del tejido afectado comprimiendo las zonas interfoliculares, y pueden tener CG que son relativamente pequeños o en regresión, ubicados hacia la periferia. Las células tumorales, células HRS clásicas más pequeñas, se observan dentro de los nódulos e incluso pueden estar rodeadas por redes de CDF, pero respetando los CG. El MAT está compuesto por abundantes linfocitos pequeños sin neutrófilos y eosinófilos.(10)
Depleción linfocítica
Por definición, es rico en células tumorales asociadas a un MAT con linfocitos agotados, y demás células inflamatorias escasas dispuestas en un estroma sin bandas fibrosas; la necrosis es frecuente. Se han descrito 3 patrones: uno con fibrosis difusa desordenada, abundantes histiocitos y láminas con una menor cantidad de células HRS; otro rico en células neoplásicas anaplásicas, pleomórficas o sarcomatosas, comúnmente asociado a infiltración capsular y perinodal, también conocido como de tipo reticular; y por último, un patrón sarcomatoide, el cual se caracteriza por un MAT con una gran proliferación de macrófagos reactivos CD163+, fusiformes pleomórficos, que forman rosetas alrededor de las células tumorales HRS de aspecto clásico, en lugar de los linfocitos T CD4+, con pocos o sin macrófagos epitelioides. Hartmann y colaboradores proponen que esto puede reflejar un intento fallido de formación de células epitelioides en ausencia de linfocitos T CD4+. Se encuentra con mayor frecuencia en el LHC asociado a VIH, pero no es específico para esta enfermedad, y aunque es raro, es posible observarlo en pacientes inmunocompetentes. Además, se asocia con un resultado clínico adverso. (7,10)
Tabla I. Subtipos histopatológicos de linfoma de Hodgkin

Fuente: Manual Merck de Diagnóstico
Mecanismos de evasión
Diferentes estudios relacionados al microambiente tumoral en LHc, han descrito múltiples mecanismos celulares y moleculares interrelacionados, que permiten colectivamente a las células de HRS resistir al ataque de las defensas innatas y adaptativas del sistema inmune del huésped, entre los cuales se incluyen: mutaciones inactivantes del antígeno leucocitario humano, sobreexpresión de moléculas de membrana celular inmunotolerogénicas, creación de una red de citocinas inmunosupresoras, reclutamiento de células inmunes inmunosupresoras y activación de la vía coinhibitoria PD-1/PD-L1-2, entre otras.(11)
Para eludir la erradicación inmunitaria, las células tumorales pueden primero volverse "invisibles". Esto puede lograrse mediante la pérdida o la regulación a la baja de moléculas implicadas en la presentación de antígenos (MHC), la coestimulación (CD80, CD86) y/o la adhesión (CD54), lo que impide su reconocimiento por parte del sistema inmunitario. Dos tipos de mecanismos pueden ser responsables de la pérdida de estas moléculas: 1) las "lesiones duras", que consisten en alteraciones genéticas irreversibles del gen de interés, o de genes implicados en su regulación transcripcional; y 2) las "lesiones blandas", que son cambios epigenéticos reversibles que reprimen la expresión génica.(12)
También, CD47 envía una señal de "no me comas" a los macrófagos y células dendríticas (CD) mediante la interacción con su ligando SIRPa. (12)
Pérdida/desregulación del MHC-I
La pérdida de MHC-I en la superficie de las células del linfoma (pérdida total o deslocalización) se produce en el 63 % de los linfomas de Hodgkin (HL). Los mecanismos irreversibles que conducen a la pérdida de MHC-I incluyen alteraciones en el gen MHC-I. A diferencia de los cánceres no hematológicos, los mecanismos epigenéticos no parecen ser frecuentemente responsables de la pérdida/desregulación de MHC-I en el linfoma. (12)
Prevención de la coestimulación: regulación a la baja de las moléculas B7:
CD80 y CD86 son miembros de la familia coestimuladora B7 y se expresan en CPA profesionales, incluidas las células B. Tienen una especificidad dual: pueden unirse al receptor estimulador CD28, que promueve la activación de las células T y al receptor inhibidor CTLA-4 (con una afinidad mucho mayor que CD28), que conduce a la inhibición de las células T. (12)
Los mecanismos de regulación a la baja del MHC-II siguen sin conocerse del todo, pero parece que se producen a nivel transcripcional independientemente de las lesiones genéticas. (12)
Cómo se defiende el linfoma:
Además, las células tumorales a pesar de ser vistas por el sistema inmunitario evitan su destrucción mediante la resistencia a las señales de apoptosis y la expresión de receptores inhibidores. Las células tumorales pueden resistirse a la apoptosis por diferentes medios: inhibición de la granzima, y pérdida de receptores FAS. Las células T pueden ser inhibidas por ligandos inhibidores que expresan las células del linfoma o las células de su microentorno, como PD-L1 o PD-L2/PD-1, LAG-3/MHC-II, CTLA-4/CD80 o CD86 y HLA-G/ILT.(12,13)
Resistencia a la apoptosis
El LH es capaz de inhibir 2 de las 3 vías que inducen la apoptosis:
1) la vía perforina/granzima que resulta de la liberación de gránulos citotóxicos de células NK o CTL activadas a través de su TCR. Se descubrió que el inhibidor de la proteasa 9 (PI9) inhibe la granzima B y, por lo tanto, protege frente a la apoptosis. El PI9 se expresa en las células RS del LH, y parece encontrarse raramente en linfomas de bajo grado. Hasta donde sabemos, no existe ningún mecanismo de inhibición de la perforina en el linfoma.(12)
2) la vía extrínseca, activada por células T y NK a través de receptores de muerte FAS o TRAIL. El FAS (CD95) pertenece a la familia de receptores del TNF y la ligadura de FASL (CD95L) induce la apoptosis a través de su dominio de muerte intracelular y la activación de caspasas. (12)
En el HL, el CD95 raramente se pierde, resiste a la apoptosis expresando c-FLIP, que se localiza en la membrana celular donde se une al dominio de muerte de CD95, impidiendo la apoptosis.(12)
3) La vía intrínseca, en la que intervienen proteínas de la familia BCL-2 y que se activa por señales de estrés intrínsecas. En la bibliografía se pudo encontrar que por este medio son muy escazas las células que evaden la señal apoptótica en el linfoma de Hodgkin. (12)
Inhibición / destrucción de células inmunitarias:
Expresión de PD-L1/L2
Los mecanismos responsables de la sobreexpresión de PD-L1 y/o PD-L2 incluyen: 1) alteración genética en 9p24; y 2) infección por el virus de Epstein-Barr (VEB). En el primer caso, el amplicón 9p24 contiene los genes PD-L1 y PD-L2 que se amplifican directamente y se sobreexpresan. También contiene el gen JAK2 que, indirectamente, induce la transcripción de los genes PD-L1 y PD-L2. Las alteraciones de 9p24 se encuentran en todos los casos de LH. La expresión de PD-L1 en el tumor es un factor pronóstico adverso para el LH.(12)
Expresión de HLA-G
HLA-G es una molécula MHC-I no clásica que se transcribe en isoformas unidas a la membrana o solubles (sHLA-G). HLA-G se une a los receptores inhibidores ILT2 (en células linfoides, incluidas células B, y células mieloides) e ILT4 (en células mieloides). El HLA-G también se une al correceptor CD8 e induce la apoptosis mediada por FAS de células T y NK.(12)
El HLA-G se expresa en el 67 % de los LHc (en RS) a un nivel superior al de los controles sanos. En el LH, la expresión de HLA-G se asocia con la pérdida de MHC-I en RS y la ausencia de VEB. El HLA-G aumenta en los trastornos linfoproliferativos y contribuye al escape inmunitario.De hecho, el sHLA-G purificado a partir del plasma de pacientes con trastornos linfoproliferativos inhibe la proliferación de células T in vitroAsí pues, HLA-G puede tener efectos ambivalentes en el linfoma: por un lado, sHLA-G puede inhibir la proliferación de células B tumorales a través del receptor ILT2 mientras que, por otro lado, HLA-G expresado en el tumor puede promover el escape inmunitario inhibiendo NK y CTL.(12)
Expresión de CD47:
CD47, cuya expresión es ubicua, interactúa con el receptor inhibidor SIRPa expresado por células mieloides y macrófagos. La interacción CD47-SIRPa envía una señal de "no me comas" a las células fagocíticas que impide la fagocitosis.Así pues, CD47 puede conducir a la evasión inmunitaria de dos maneras:(12)
- Inhibiendo la fagocitosis.
- Inhibiendo la presentación cruzada por las células dendríticas (CD).
Microentorno inmunosupresor
Las células de linfoma pueden eludir la erradicación inmunitaria e inducen un microentorno inmunosupresor (humoral y celular). Las interacciones entre las células del linfoma y su microentorno han sido revisadas en detalle por Scott y Gascoyne. Aquí destacamos los principales componentes inmunosupresores presentes en el microentorno del linfoma.(12)
Citocinas
Secreción de IL-10
La IL-10 es una citocina inmunosupresora que inhibe las células efectoras mieloides y las funciones de cebado de las CD, promueve las respuestas inmunitarias Th2, induce las Treg y estimula el crecimiento y la diferenciación de las células B. Así pues, la IL-10 puede promover el linfoma de dos formas: 1) estimulando el crecimiento de las células B tumorales; 2) induciendo un entorno inmunosupresor. El nivel sérico de IL-10 es más elevado en pacientes con linfoma que en sujetos sanos y se asocia a un mal pronóstico.Además, los niveles elevados de IL-10 antes del tratamiento se asocian al fracaso del tratamiento y a un peor resultado.(12)
Secreción de TGF-β
El TGF-β inhibe la función de los CTL y promueve un entorno inmunosupresor de varias maneras:
1) induce un fenotipo agotado en los CTL (principalmente en las células T de memoria) con una expresión elevada de PD-1 y TIM-3.
2) conduce a la expresión de FOXP3, principalmente en las células T CD4+ e induce la diferenciación de las Treg; y
3) reprime la expresión de CD95, perforina, granzima y citocinas.
Dado que el TGF-β suprime el crecimiento del linfoma, entonces inhiben la proliferación y la apoptosis, las células del linfoma pueden adquirir primero resistencia o una respuesta aberrante al TGF-β. Esto puede lograrse mediante varios mecanismos, incluida la regulación a la baja del receptor del TGF-β en las células del linfoma a través de mecanismos epigenéticos, la transducción anormal de señales y la expresión de CD109, un regulador negativo de la señalización del TGF-β. Por lo tanto, no existe un impacto pronóstico claro del TGF-β en el linfoma.(12)
Expresión de IDO
La IDO es una enzima, expresada por células de linfoma y células del microambiente, que suprime las respuestas inmunitarias CTL y NK e induce Treg a través de la degradación del triptófano. El metabolito más importante del triptófano es la cinurenina, que inhibe la proliferación específica de antígenos e induce la muerte de las células T.(12)
La proteína IDO se expresa en las células estromales del LH y los niveles intratumorales son significativamente más altos que en los ganglios linfáticos reactivos. En el LH la actividad de IDO se asocia con una enfermedad más agresiva y un peor pronóstico. El aumento de IDO se asocia con la infiltración de Treg.(12)
Células
Las células T suelen ser la mayor población de células en el microambiente del LHc, y abarcan células T ayudantes (Th), células T reguladoras (Tregs) y células T citotóxicas. Las células Th y Tregs presumiblemente proporcionan señales esenciales de supervivencia para las células del HRS. Las Tregs también están implicadas en el rescate de las células HRS de las respuestas inmunes antitumorales.(13)
Células T reguladoras:
Las células Treg, que se caracterizan por la expresión de CD4, FOXP3 y CTLA-4, son responsables de la prevención de la autoinmunidad. Las células Treg suprimen las células inmunitarias mediante mecanismos directos dependientes del contacto, incluida la inducción de la muerte de las células efectoras, y mecanismos indirectos mediante la secreción de citocinas inhibidoras (IL-10, TGF-β) o la interferencia con el metabolismo de las células T efectoras. En un estudio, el análisis de la expresión génica global de las células CD4+ Th y Tregs aisladas de los ganglios linfáticos del LHc y de las amígdalas reactivas reveló que las firmas Treg estaban enriquecidas en las células CD4+ Th del HRs. Por lo tanto, las células HRS pueden inducir la diferenciación Treg en células Th, una conclusión apoyada por estudios in vitro con células Th y líneas celulares de LHc.(12,13)
Células supresoras de origen mieloide
Las células supresoras derivadas de los mieloides (MDSC) se han descrito recientemente y continuan mal caracterizadas. Aunque sus propiedades inmunosupresoras están bien establecidas, solo se han explorado unos pocos mecanismos en el linfoma. Las funciones inmunosupresoras de las MDSC incluyen:(12)
1) secreción de factores inmunomoduladores y expansión de las Treg;
2) modulación del metabolismo de aminoácidos y disminución de la proliferación de células T;
3) estrés oxidativo;
4) inhibición de la viabilidad de las células T o NK y de su homing a los ganglios linfáticos.
5) inducción de la apoptosis de las células T.
Macrófagos
Los macrófagos se dividen en subconjuntos M1 (proinflamatorios, CD163-) y M2 (antiinflamatorios, CD163+). Los macrófagos M2 son reclutados en el tumor o se diferencian in situ (especialmente por IL-10) y promueven la progresión tumoral.(12)
Microambiente
El microambiente inmunitario del linfoma de Hodgkin (LH) es un componente crucial que influye en la patogénesis y progresión de la enfermedad. Este microambiente se caracteriza por una interacción compleja entre las células tumorales, las células del sistema inmunitario, las células estromales y la matriz extracelular. A continuación se detallaran algunas de las principales características necesarias para el desarrollo de este microambiente:(14)
1. Células de Reed-Sternberg: Estas son las células neoplásicas características del linfoma de Hodgkin. Son grandes y multinucleadas, y su presencia es fundamental para el diagnóstico. Estas células tienen la capacidad de evadir la respuesta inmunitaria, lo que les permite sobrevivir y proliferar en el microambiente.(15,16)
2. Infiltración de células inmunitarias: El microambiente del LH está caracterizado por una infiltración significativa de células inmunitarias, incluyen linfocitos T, linfocitos B, macrófagos y células dendríticas. Sin embargo, la mayoría de estas células son funcionalmente anormales o están en un estado de agotamiento, lo que contribuye a la inmunosupresión local.(16)
3. Linfocitos T: En el microambiente tumoral del LH, se observa una predominancia de linfocitos T CD4+, que pueden tener un papel tanto en la respuesta inmune como en la promoción del crecimiento tumoral. Algunos estudios han mostrado que estos linfocitos pueden ser funcionalmente ineficaces o estar regulados negativamente.(16)
4. Macrófagos: Los macrófagos en el microambiente del LH suelen estar polarizados hacia un fenotipo M2, que está asociado con la promoción de la angiogénesis y la supresión de la respuesta inmune. Estos macrófagos pueden secretar factores que favorecen el crecimiento y la supervivencia de las células de Reed-Sternberg.(16)
5. Citoquinas y quimioquinas: El microambiente del LH está enriquecido en citoquinas y quimioquinas que modulan la respuesta inmune. Por ejemplo, se ha observado un aumento en niveles de IL-10 y TGF-β, que tienen efectos inmunosupresores y pueden contribuir a la progresión del tumor.(16)
6. Interacción con el estroma: Las células estromales, que incluyen fibroblastos y células endoteliales, también juegan un papel importante en el microambiente del LH. Estas células pueden proporcionar soporte estructural y funcional a las células tumorales, así como participar en la regulación de la respuesta inmune.(16)
7. Alteraciones en la matriz extracelular: La composición y estructura de la matriz extracelular en el microambiente del LH puede influir en la migración celular, la proliferación y la respuesta inmune. Cambios en esta matriz pueden facilitar la invasión tumoral y contribuir a un entorno pro-tumoral.(16)
Conclusiones
Son 4 los principales subtipos histológicos del Linfoma de Hodgkin (esclerosis nodular, celularidad mixta, ricos en linfocitos y depleción linfocítica); cuyo desarrollo requiere de la ejecución de mecanismos evasivos que rescaten a las células tumorales de los efectores inmunológicos; a través de la expresión de moléculas inhibidoras y la activación de células reguladoras.
Es indispensable la formación de un microambiente inmunosupresor que promueva la proliferación tumoral y se caracteriza por la presencia de las células de Reed-Sternberg, la infiltración de células inmunitarias, linfocitos T, macrófagos, citocinas y quimioquinas. Además de requerir de la interacción con el estroma y de alteraciones en la matriz extracelular.
Referencias bibliográficas
1. World Health Organization. Noncommunicable diseases. 2021 [citado 2023 Oct]. Disponible en:
https://www.who.int/news-room/fact-sheets/detail/noncommunicable-diseases
2. World Health Organization. Primary health care. 2018 [citado 2024 dic 10]. Disponible en: https://www.who.int/news-room/fact-sheets/detail/primary-health-care
3. Murphy K, Weaver C, Berg LJ. Janeway's Immunobiology. 9th ed. New York: Garland Science; 2016
4. World Health Organization. The World Health Report 2020: Health systems financing: the path to universal coverage. 2020 [citado 2024 dic 10]. Disponible en: https://www.who.int/whr/2000/en/
5. Motolito J, Borchmann S, Eichenauer DA, Engert A, Sasse S. Hodgkin lymphoma-review on pathogenesis, diagnosis, current and future treatment approaches for adult patients. J Clin Med 2021[citado 2024 dic 10]; 10:1125. https://doi.org/10.3390/jcm10051125
6. Satou A, Takahara T, Nakamura S. An update on the pathology and molecular features of Hodgkin lymphoma. Cancers (Basel) 2022[citado 2024 dic 10]; 14:2647. https://doi.org/10.3390/cancers14112647
7. Connors JM, Cozen W, Steidl C, Carbone A, Hoppe RT, Flechtner HH, et al. Hodgkin lymphoma. Nat Rev Dis Primers 2020[citado 2024 dic 10]; 6:61. https://doi.org/10.1038/s41572-020-0189-6
8. Rui L, Emre NC, Kuruhlak MJ, Chung HJ, Steidl C, et al. Cooperative epigenetic modulation by cancer amplicon genes. Cancer cells. 2010[citado 2024 dic 10]; 18(6): 590-605. Disponible en: https://pubmed.ncbi.nlm.nih.gov/21156283/
9. Opinto G, Agostinelli C, Ciavarella S, Guarini A, Maiorano E, Ingravallo G. Hodgkin lymphoma: A special microenvironment. J Clin Med 2021[citado 2024 dic 10]; 10:4665. https://doi.org/10.3390/jcm10204665
10. Piris MA, Medeiros LJ, Chang KC. Hodgkin lymphoma: a review of pathological features and recent advances in pathogenesis. Pathology 2020[citado 2024 dic 10]; 52:154-165. Doi: https://doi.org/10.1016/j
11. García Montenegro M, Narbaitz M, Metrebian M, Pavlovsky A, Slavutsky I. Desbalances genómicos del locus 9p24.1 en pacientes argentinos con linfoma de Hodgkin clásico. Medicas UIS. 2021. [cited 2025 Jan 24]; 34(1): 35-44. Disponible en: http://www.scielo.org.co/scielo.php?script=sci_arttext&pid=S0121-03192021000100004&lng=en. Epub Apr 01, 2021. https://doi.org/10.18273/revmed.v34n1-2021004
12. Charette M, Houot R. Hide or defend, the two strategies of lymphoma immune evasion: potential implications for immunotherapy. Haematologica. 2018[citado 2024 dic 10] Aug;103(8):1256-1268. Doi: https://doi.org/10.3324/haematol.2017.184192
13. Wein F, Weniger M, Höing B, Arnolds J, Hüttmann A. Complex Immune Evasion Strategies in Classical Hodgkin Lymphoma. Cancer Immunol Res. 2017[citato 2024 dic 10]. 5 (12): 1122–1132. https://doi.org/10.1158/2326-6066.CIR-17-0325
14. Kuppers R, Engert A. Linfoma de Hodgkin: patogénesis y tratamiento. Nature Reviews Clinical Oncology. 2020[citado 2024 dic 10];17(3):195-210. https://doi.org/doi:10.1038/s41571-019-0255-2
15. Al-Mansour M. El papel de los inhibidores de puntos de control inmunitarios en el tratamiento del linfoma de Hodgkin. Expert Review of Anticancer Therapy. 2021[citado 2024 dic 10];21(1):1-11. https://doi.org/doi:10.1080/14737140.2021.1842944
16. Kallinowski B. El microambiente tumoral y la evasión inmunitaria en el linfoma de Hodgkin. Frontiers in Immunology. 2020[citado 2024 dic 10];11:1234. https://doi.org/doi:10.3389/fimmu.2020.01234
Declaración de autoría
MLG: conceptualización, análisis formal, investigación, metodología, visualización, redacción- borrador original, redacción - revisión y edición.
ARG: conceptualización, análisis formal, investigación, metodología, visualización, redacción- borrador original, redacción - revisión y edición.
LEMM: conceptualización, análisis formal, investigación, metodología, visualización, redacción- borrador original, redacción - revisión y edición.
Conflicto de intereses
Los autores declaran que no existen conflictos de intereses.
Fuentes de financiación
No existieron fuentes de financiación externa.
Publicación cuatrimestral de la Universidad de Ciencias
Médicas de Holguín
CC-BY-NC
4.0